
審美治療

ホーム » 審美治療
審美歯科治療とは
恵比寿南DENTALでは虫歯治療や根管治療後の修復処置において、科学的根拠(年齢、性別、口腔内環境、咬み合わせ等)に基づき、患者様それぞれに適した審美性を追求した治療を行っています。ただ白い詰め物や被せ物を入れることが審美歯科治療ではなく、歯本来が持つ色調や機能性の回復を重視し、口元全体の調和のとれた美しさが伴う審美歯科治療を提供します。

審美歯科治療とは失った歯や欠けた歯にセラミック系材料を用いて、元の天然歯に近い色合いや形態、質感を再現する治療法です。
また単純に見た目を修復するだけではなく、機能性(歯並びや咬み合わせ)も含めて改善し、美しい口元と笑顔を患者様へ提供します。
審美歯科治療の大きなメリットは以下のようになります。
審美歯科治療のメリット
銀歯を使用しない(メタルフリー治療)
保険診療で大きな虫歯の治療をすると詰め物や被せ物が銀歯になってしまいますが、世界的に見ても先進国の中でこれだけ銀歯を用いた修復治療が行われている国は日本だけだと言われています。
まず白い歯の中にある銀歯はとても目立ってしまいます。
また銀歯は虫歯になりやすく再治療のリスクがとても高い材料になります。金属はセメントにより歯にはめこんで装着していますが、そのセメントは1年程度で溶けてなくなります。そして元々セメントがあったスペースは隙間となりそこに虫歯の菌が侵入してしまいます。
そのため耐用年数は3~4年と言われており、再治療を防ぐのは困難と言われています。
また銀歯は金属イオンが発生するため金属アレルギーを引き起こす危険性があります。
セラミック系材料は銀歯と比べ見た目が美しいというメリットはもちろんありますが、それだけでなく再治療のリスクが大幅に低下するというメリットがあります。
セラミック系の材料の詰め物や被せ物は歯と化学的に接着(一体化)することで経年的に隙間ができる心配がありません。
隙間ができないということは銀歯のように中から二次的な虫歯になるという可能性を圧倒的に下げることができるのです。
自身の歯に優しく再治療のトラブルが少ない美しい修復治療がセラミック治療の大きなメリットになります。
自身の歯の色・形、口元や顔貌を改善できる
歯の色というのは年を重ねると色素が沈着して黄ばんだり黒ずんだりしていきます。また長年の歯ぎしり・食いしばり等の生活習慣により歯の形は変化していきます。
審美歯科治療でセラミック材料を用いた詰め物や被せ物をすることで、失われた歯本来の美しさや機能を回復することができるのです。
審美性と機能性が伴った口元を実現することで、皆様に素敵な笑顔を提供し自身に満ち溢れた日常を過ごして頂きたいと考えています。
審美歯科治療がおすすめの人

セラミック系材料を用いた審美歯科治療は自由診療となるため治療費は保険診療の詰め物と比べて割高ですが、保険診療で仕様するプラスチック材料(コンポジットレジン)や銀歯に比べさまざまなメリットがあります。
見た目が綺麗というセラミック系材料の大きなメリットはありますが、最近は見た目の美しさだけでなく、二次的なトラブルが少ない長期予後に優れた自分の歯に優しい素材であるという点やお口全体の機能性を重視してセラミック系材料を用いた治療を選ぶ患者様も増えてきています。
以下に当てはまる人たちには審美歯科治療をおすすめしています。
是非検討してみてください。
- 自然な仕上がりで、見た目の美しい歯を大切にしたい人
- お口の中全体の機能性の回復を重視したい人
- トラブルの少ない材料で健康な歯の寿命を長く延ばしたい人
- 金属アレルギーなどの心配がなく安心安全な治療を望む人
当院が提供する
審美歯科治療
セラミック治療

セラミックは、天然歯と同様の色合いと光沢を持ち、強度があり、摩耗に強いため、歯の修復や治療に適しています。セラミック治療は、歯の表面にセラミックの薄いシェルを貼り付ける方法と、歯を削って形を整えた上でセラミックのクラウンを被せる方法があります。
セラミック治療のメリットは、自然な見た目と高い耐久性です。また、セラミックは金属アレルギーを持つ患者さんにも安心して使用できるため、適用範囲が広い治療法です。
ホワイトニング
ホワイトニングとは、日常生活での歯磨きや歯医者さんで行う歯のクリーニングでは落とせないカレーや紅茶やコーヒー等の色の濃い飲食物による着色汚れ、タバコのヤニなどによって黄ばんでしまった歯を白くする治療法です。
専用の薬剤を用いて歯の中にある色素を分解していきますので健康な歯を削ったり歯にダメージを与えるようなことは一切ありません。
ホワイトニングには、歯科医院で行う「オフィスホワイトニング」とご自宅で患者様自身が行う「ホームホワイトニング」、またその両方を行う「デュアルホワイトニング」の3種類があります。

エアフロー

当院ではEMS社のエアフロ―ワンを採用しています。エアフロ―とは非常に細かい超微粒子のパウダーを歯に吹き付けて洗浄する機材です。
歯ブラシが届きづらい場所などは磨いているつもりでも汚れが溜まりやすくなっています。
また歯周ポケットの内部に入り込んだバイオフィルムや細菌は、家での歯ブラシでとることはできません。
エアフロ―を使用することで、お口の中の隅々まで歯と歯肉を傷つけることなく、虫歯や歯周病の原因であるバイオフィルムやヤニを除去します。これにより黄ばんだ着色を落とすことができ白く美しい歯になりますし、虫歯や歯周病の予防にもつながります。
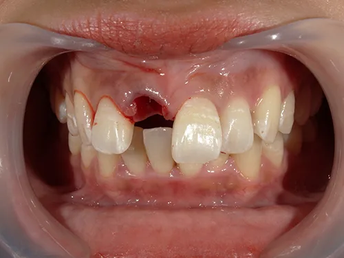
セラミック治療の症例
治療前

治療後

施術内容 | 20代女性 |
---|---|
治療費用 | 150,000円×3本+税 |
治療のリスク・副作用 | 右上の前歯が根っこが折れて抜かなくてはいけなくなってしまったので綺麗に治療して欲しいと来院。 抜歯後歯肉の陥没を最小限に抑えるように歯肉形態を整えてジルコニアオールセラミックを用いてブリッジによる補綴治療を行った。 |
治療前

治療後

施術内容 | 40代女性 ジルコニアオールセラミック |
---|---|
治療費用 | 165,000円×4本 |
治療回数 | 4回 |
治療のリスク・副作用 | 個人差により、ごく稀に欠けたり壊れる可能性があります。 |
治療前

治療後

施術内容 | 40代男性 ジルコニアオールセラミック |
---|---|
治療費用 | 165,000円×2本 |
治療回数 | 4回 |
治療のリスク・副作用 | 個人差により、ごく稀に欠けたり壊れる可能性があります。 |
治療前

治療後

施術内容 | 30代男性 右上の前歯が神経が死んしまって変色してしまったと来院。 |
---|---|
治療費用 | 1本150,000円+税 |
治療回数 | 3回 |
治療内容 | ジルコニアオールセラミッククラウンにより色調改善を行った。 |
治療前

治療後

施術内容 | 40代男性 左上前歯の保険の被せ物が色が合っていないので改善して欲しいと来院。 |
---|---|
治療費用 | 1本150,000円+税 |
治療回数 | 3回 |
治療内容 | ジルコニアオールセラミッククラウンにより色調改善を行なった。 |
治療前

治療後

施術内容 | 40代女性 左上前歯の保険の被せ物が不自然で色が合っていないので改善して欲しいと来院。 |
---|---|
治療費用 | 1本150,000円+税 |
治療回数 | 3回 |
治療内容 | ジルコニアオールセラミッククラウンにより色調改善を行なった。 |
治療前

治療後

施術内容 | 30代男性 前歯の色と形が気になるので綺麗にやり直したいと来院。 |
---|---|
治療費用 | 1本150,000円×4本+税 |
治療回数 | 4回 |
治療内容 | ジルコニアオールセラミックを用いて色調及び形態の改善を行った。 |
当院が提供する
修復物・補綴物
恵比寿南DENTALでは患者様のお口に最適な治療計画を立案し修復物・補綴物を提案させて頂きます。
患者様が何を重要視しているか(予算・審美性・耐久性等)に合わせて最適な選択ができるように様々なプランをご用意させて頂いています。
インレー(詰め物)

即日の修復処置が可能です。
経年的に劣化する脆弱な材質になりますので適応範囲が限られます。(耐用年数:2年程度)
美しさ
★★☆☆☆
変色しにくさ
★☆☆☆☆
摩耗しにくさ
★☆☆☆☆
金属アレルギーの可能性
なし
価格
保険診療(2,200円/税込 前後)

虫歯が再発のリスクが高く、審美性がありません。
プラーク等の汚れも付きやすく費用は抑えることができますが、再治療のリスクは高い材料になります。
美しさ
☆☆☆☆☆
変色しにくさ
★☆☆☆☆
摩耗しにくさ
★★☆☆☆
金属アレルギーの可能性
あり
価格
保険診療(7,700円/税込 前後)

プラスチックにセラミックの成分を混ぜた材料です。
プラスチックの成分により経年的に色の劣化、摩耗があります。
歯ぎしり・食いしばり、咬み合わせの関係により適応範囲が限られます。
美しさ
★★★☆☆
変色しにくさ
★★☆☆☆
摩耗しにくさ
★☆☆☆☆
金属アレルギーの可能性
なし
価格
44,000円/税込

材質的に歯の表面のエナメル質に最も近い材料です。
変色がなく、天然歯に近い透明感や強度があります。
プラーク等の汚れが付きにくく、歯と詰め物の間に隙間ができないため再治療のリスクを最小限に抑えます。
美しさ
★★★★☆
変色しにくさ
★★★★★
摩耗しにくさ
★★★★☆
金属アレルギーの可能性
なし
価格
66,000円/税込

セラミック材料と比較し、高い強度がありますが透明感が若干劣ります。
審美性が求められる前歯ではなく強度の求められる奥歯に適しています。
プラーク等の汚れ、歯周病菌等は付着しにくい安全な材料です。
美しさ
★★★☆☆
変色しにくさ
★★★★★
摩耗しにくさ
★★★★★
金属アレルギーの可能性
なし
価格
110,000円/税込
クラウン(被せ物)

費用は抑えることができますが、歯と被せ物の間に隙間ができやすく、虫歯が再発しやすい材料です。
(耐用年数:4~5年程度)
審美性がありません。
美しさ
☆☆☆☆☆
変色しにくさ
★☆☆☆☆
摩耗しにくさ
★★☆☆☆
金属アレルギーの可能性
あり
価格
保険診療(16,500円/税込 前後)

経年劣化する
プラスチック成分による変色・摩耗があります。
強度が強くないため適応範囲が限られます。
美しさ
★★★☆☆
変色しにくさ
★★☆☆☆
摩耗しにくさ
★☆☆☆☆
金属アレルギーの可能性
なし
価格
88,000円/税込

材質的に歯の表面のエナメル質に最も近く、天然歯に近い透明感や強度があります。
経年的に劣化する素材ではないので変色もみられません。
美しさ
★★★★☆
変色しにくさ
★★★★★
摩耗しにくさ
★★★★☆
金属アレルギーの可能性
なし
価格
110,000円/税込

ベースとなる内側を金属で作製しその上に審美性のためセラミックを築盛しています。
内面が金属なので天然歯特有の透明感と質感を再現することは困難です。
美しさ
★☆☆☆☆
変色しにくさ
★★★★☆
摩耗しにくさ
★★★★☆
金属アレルギーの可能性
あり
価格
110,000円/税込

セラミックより高い強度がありますが、透明感が若干劣ります。
強度が求められる奥歯に最適です。
汚れや歯周病菌が付着しにくく、経年劣化もありません。
美しさ
★★★☆☆
変色しにくさ
★★★★★
摩耗しにくさ
★★★★★
金属アレルギーの可能性
なし
価格
132,000円/税込

ベースとなる内側をジルコニアで作製しその上にセラミックを築盛した審美性と耐久性の両方に優れたベストな材料です。
オーダーメイドで色調の再現が可能ですので、審美性が求められる前歯に最適です。
美しさ
★★★★★
変色しにくさ
★★★★★
摩耗しにくさ
★★★★☆
金属アレルギーの可能性
なし
価格
165,000円〜/税込
当院が提供する
セラミック治療の特徴
経験豊富な専門医による治療

当院の院長は大学院で保存学講座美容歯科学部門にて学び博士号を取得しています。
大学院では基礎的な材料研究や臨床研究、治療及び患者対応を行い、理想とする高い審美性を兼ね備えた修復治療と、予防治療の組み合わせに対する「技術力」、「対応力」を共に培ってまいりました。大学院で学んできたことは、「健康な歯」を維持するために必要な修復材料の選択判断や、治療技術の向上への大きな糧となっており、健全な歯質を保存しつつ審美性と長期の予後に優れた治療のご提供を可能にします。
マイクロスコープを使用した精密なセラミック治療
マイクロスコープは、肉眼の最大25倍もの拡大視野を確保できる、優れた精密機器です。健康な歯を維持しつつ、審美性の高い治療には欠かせないものです。セラミック治療においては、患者様一人ひとりに合わせたセラミックを作成するために、歯を削る量が少なすぎても多すぎても不自然になってしまいます。
マイクロスコープを利用すれば、肉眼と異なり、この微妙な調整がミクロン単位で可能となり、確実性の高い「精密な治療」が可能になります。

審美治療の注意点
審美歯科治療は歯の色や形態、歯並びや口元の見た目を整えることで、美しい口元や笑顔を維持していただくことを目的とした治療です。
歯や口元が美しくなることで自分に自信を持ち、素敵な笑顔で毎日を過ごせるようになります。
ですが、審美性を追求するあまりに、本来削る必要のない歯を削られてしまうというケースがよくあります。
歯は一度削ってしまうと元には戻りません。そしてむやみに歯を削ることによって歯そのものが弱くなり寿命も短くなってしまい、将来的なお口全体のバランスが崩れてしまう危険性もあるのです。
恵比寿南DENTALでは審美歯科治療を行う際にはまず
① 精密検査(お口全体のチェック、顔貌のチェック、レントゲン撮影)
② 治療計画立案、ワックスアップ作製(治療本数、使用する材料、治療期間、予算等)
③ コンサルテーション(治療計画の説明及び同意)
以上の3つを必ず行います。
むやみやたらに歯を削るようなことは絶対に致しません。必ず患者様としっかり話し合った上で、治療に伴うメリットデメリットを理解して頂き、どのくらいの治療期間と費用が掛かるかをしっかり理解した上で、納得して治療受けるようにして頂きます。