MENU

世界基準の安心・安全な
インプラント治療

  • 丁寧な
    カウンセリング
  • 無料相談
    実施
  • 先進機器を
    使用した
    精度の高い治療

世界基準の安心・安全な
インプラント治療

  • 丁寧な
    カウンセリング
  • 無料相談
    実施
  • 先進機器を
    使用した
    精度の高い治療

インプラント治療をお考えの方
こんなお悩みはありませんか?

歯科医院を
選ぶ
基準が
わからない

金額が高そう

手術が怖い

見た目に影響が
ないか不安

お手入れや
メンテナンスが
大変そう

他の治療法
とも
比較して
検討したい

経験豊富な医師による 徹底したカウンセリング・治療で そのお悩み解決します。

院長 井出 翔太郎 恵比寿南DENTAL

院長井出 翔太郎

インプラント治療は歯を失ってしまった場合の治療方法として素晴らしい選択肢であることは間違いありません。
しかし当院はまずは可能な限りの歯の保存を優先して治療して参ります。
患者様の大切な歯を残すことを最後まで考え、もし条件的に厳しい場合のみ、抜歯から迅速にインプラント治療に移行することが最も重要だと考えます。
料金や治療方針などご納得いただけるまで丁寧にご説明しますので、クリニックまでお気軽にお電話ください。

当院のインプラントが選ばれる
理由

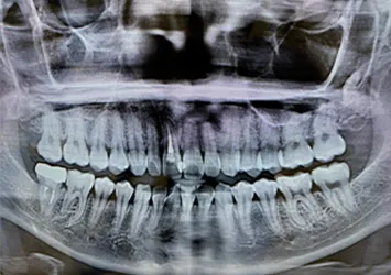
1 歯科用CTなどを活用した正確な診査診断

インプラント治療成功のポイントは「口腔衛生環境」、「身体の健康状態」、「骨の状態(骨の幅、深さ、密度)」、「インプラントの埋入位置」、「担当するスタッフの技術や評判」、「院内の衛生環境」等様々あります。
当院では、歯科用CTによる一般的なレントゲン写真よりも高い精度での検査により、患者様の顎の状態を詳細に把握することで、手術の成功率を高めるとともに患者様の治療時と治療後の痛みの軽減にも役立ちます。

歯科用CT 写真 恵比寿南DENTAL

2 他院で治療を断られた方でも治療可能

顎の高さや厚みが足らないことにより他のクリニックや歯科医院で治療を断られた方でもご安心ください。当院ではそのような方でもインプラント治療を受けられる設備を整えております
インプラント治療に不安がある方でもまずは無料相談を実施していますので、お気軽にお問い合わせください。

治療している様子 恵比寿南DENTAL

3
丁寧でわかりやすいカウンセリング
信頼関係のある治療

一口にインプラント治療と言っても1回法や2回法などがあり、実際に治療を受けるまでに分からないことが数多くあるかと思います。
当院では、そんな患者様の不安や懸念をなくしたうえで治療に臨んでいただきたいと考えております。「安心と満足」が両立した治療を提供するために、カウンセリングを通して患者様の不安に感じていることやご自身の希望などをまずは無料相談で詳しくお聞かせください。

カウンセリングしている様子 恵比寿南DENTAL

その他の患者様に喜ばれるポイント

プライバシーを重視した完全個室の診療室

当院では、患者様にリラックスして治療を受けていただきたいという思いから、診療室とカウンセリングルームは完全個室となっております。
診療室を完全個室にすることで、院内感染の予防にも効果的です。
患者様のプライバシーをしっかりとお守りしますので、治療に関するお悩みやご相談があれば、お気軽にご相談ください。

完全個室の診療室 恵比寿南DENTAL

立地が良いため通いやすい

当院は、恵比寿駅から徒歩3分という非常に便利な立地にあり、さらに代官山や中目黒からも徒歩10分以内でお越しいただけます。そのため、学校やお仕事の 帰りはもちろん、ショッピングやお食事、お出かけのついでにも立ち寄りやすく、多くの患者様から「通いやすい」とご好評をいただいております。駅チカのため天候に左右されにくく、忙しい方でもスムーズにご来院いただけるのが大きな魅力です。

店舗の外観 恵比寿南DENTAL

徹底した感染対策の実施

当院では、院内感染を予防するため、使用した治療機器は徹底的に洗浄・滅菌しています。
当院で使用している滅菌器は、世界的にも厳しい基準をクリアしているクラスB高圧蒸気滅菌器(オートクレーブ)です。
使用した治療器具は超音波洗浄機で細かい部分まで汚れを落とし、その後、オートクレーブで菌や細菌、ウイルスを死滅させています。
また、虫歯や根管治療、インプラントなどの治療を行う際は、ラバーダムという患部以外を保護するシートを装着して、お口の中の菌の感染を防ぎます。

高圧蒸気滅菌器(オートクレーブ) 恵比寿南DENTAL

安心の10年保証

当院では安心してインプラント治療を受けられるように当院独自の10年保証をご用意しています。
外傷による骨へのダメージや特殊なケースを除いて万が一、インプラント治療後にインプラントが破損した場合にインプラントを含む再手術および上部構造の修復に発生した費用を保証いたします。
この場合、当院の指定する定期検診(3〜4ヶ月に1回)を受診していただくことが条件となります。

恵比寿南DENTALロゴ写真

精度の高い診査診断検査精密歯科治療

ガイデッドサージェリー 恵比寿南DENTAL

ガイデッドサージェリー

ガイデッドサージェリー(ガイドシステム)とは、CTデータと3Dシミュレーションソフトを活用し、インプラントを埋め込む最適な位置・角度・深さを事前に設計する技術です。この設計情報を反映した専用のサージカルガイド(マウスピース型テンプレート)を用いることで、手術時に正確な位置へインプラントを埋入できます。これにより、手術の安全性と確実性が向上し、時間の短縮や身体的負担の軽減にもつながります。さらに、骨量が少ない難症例でも手術が可能になり、切開を最小限に抑える「フラップレス治療」にも対応できます。従来のフリーハンドによる埋入と異なり、新幹線のレールのように決められたルートに沿って正確に治療を進められるため、失敗リスクを抑え、より安心・安全なインプラント手術が実現できます。

シミュレーション機器 恵比寿南DENTAL

シミュレーション機器

3Dコンピューターシミュレーション機器は、CTデータをもとに口腔内の立体モデルを作成し、インプラントの埋入位置や角度、最終的な歯の仕上がりを事前にシミュレーションできるシステムです。当院では「ストローマンガイド」のシステムを導入し、より精密で安全な治療を提供しています。これにより、手術のクオリティ向上やリスク軽減が可能となり、術式や治療期間・費用の明確化、痛みや腫れを抑えた低侵襲手術の実現にもつながります。従来の経験や勘に頼る方法とは異なり、コンピューターによる正確な診断と計画に基づくため、より確実で安心なインプラント治療を提供できます。

歯科用CT 恵比寿南DENTAL

歯科用CT

歯科用CTは、従来の2次元のレントゲン装置とは異なり、3次元の立体画像を撮影可能にする装置で、精度の高い診査診断検査や精密歯科治療を行う際には欠かせない機器です。
従来の2次元のレントゲン撮影による画像では見ることができない口腔内を3次元的に把握できることで、歯や歯周組織、顎の骨やその中にある神経や血管の位置まで正確に把握することができます。
当院では、歯科用CTを完備しておりますので、歯周病治療、根管治療、インプラント治療や親知らずの抜歯など、精度の高い診査診断が求められる治療も安全に受けて頂けます。

マイクロスコープ 恵比寿南DENTAL

マイクロスコープ

恵比寿南DENTALでは、視野を肉眼の最大25倍まで拡大できる治療用顕微鏡「マイクロスコープ」を活用しています。マイクロスコープを活用することで今まで見えない状態で治療を行っていた部位の「見える化」が可能となります。
現在、日本の歯科医院でのマイクロスコープ普及率は、2割以下と言われています。
その要因の1つとして、マイクロスコープを効果的に治療に活かすには、「高い技術力」が必要とされることが挙げられます。当院ではスタッフ一同が積極的に学会や勉強会に参加し続けることで技術力の向上に努めています。
当院ではマイクロスコープを活用した拡大視野での「精度の高い治療」により、患者様の大切な歯を可能な限り保存し、審美性・機能性・耐久性と長期予後に優れた口腔内の実現に尽力致します。

インプラント治療について不安がある方
患者様一人ひとりのご希望に
最適な治療をご提案しますので
まずは無料カウンセリングにお越しください

ブリッジ・入れ歯との比較

インプラント ブリッジ 入れ歯
見た目
(審美性)
天然歯に近い
自然な仕上がり
比較的自然だが、
使用する素材に
より異なる
金属のバネが
見えることがあり、
審美性は劣る
場合がある
機能性 天然歯とほぼ同等の
噛む力がある
天然歯よりやや
劣るが、
ある程度
しっかり噛める
噛む力は低く、
食事に制限が
出る場合がある
周囲の歯
への影響
周囲の歯を削らない
ため、
健康な歯に
負担がかからない
両隣の歯を削る
必要があり、
支えと
なる歯に負担がかかる
隣の歯にバネを
かけるため、
支える歯に
負担がかかる
治療期間 3〜6ヶ月 2〜4週間程度 2〜4週間程度
寿命 10年以上
(適切なケアで
長持ち)
約7〜10年
(支えの歯の
状態による)
約5年
(経年劣化や歯ぐき

変化による
調整が必要)
保険適用の有無 保険適用外
(自由診療のみ)
保険適用可能
(素材による)
保険適用可能
手術の有無 あり
(外科手術が必要)
なし なし

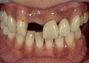
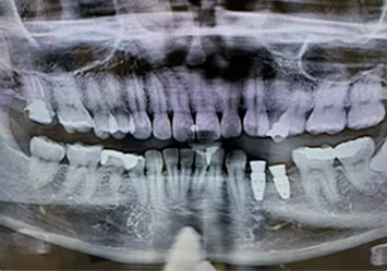
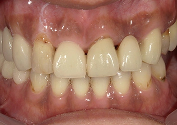
症例紹介

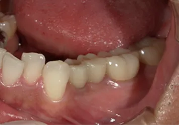
CASE 01

治療前

治療前写真 恵比寿南DENTAL 治療前写真 恵比寿南DENTAL 治療前写真 恵比寿南DENTAL

治療後

治療後写真 恵比寿南DENTAL 治療後写真 恵比寿南DENTAL
施術内容

【40代女性】
右上の前歯が歯根破折となっしまった為抜歯を行い、抜歯と同時にインプラント埋入を行った

治療期間

3ヶ月

リスク

術中の不可抗力によるトラブル(出血など)、術後注意事項を守らないことによる疼痛、感染、上部構造装着後口腔内清掃を怠ったことによるインプラント周囲組織の炎症

副作用

治療後の口腔内清掃、及びメインテナンスを怠ったことによるインプラント周囲粘膜炎またはインプラント周囲炎

費用

インプラント埋入:30万円
ジルコニアオールセラミッククラウン:15万円

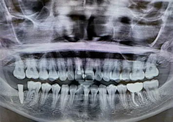
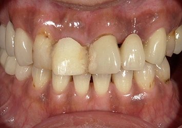
CASE 02

治療前

治療前写真 恵比寿南DENTAL 治療前写真 恵比寿南DENTAL 治療前写真 恵比寿南DENTAL

治療後

治療後写真 恵比寿南DENTAL 治療後写真 恵比寿南DENTAL 治療後写真 恵比寿南DENTAL
施術内容

【30代男性】
生え代わらず晩期残存した左下の乳歯を抜歯しインプラントを埋入

治療期間

4ヶ月

リスク

術中の不可抗力によるトラブル(出血など)、術後注意事項を守らないことによる疼痛、感染、上部構造装着後口腔内清掃を怠ったことによるインプラント周囲組織の炎症

副作用

治療後の口腔内清掃、及びメインテナンスを怠ったことによるインプラント周囲粘膜炎またはインプラント周囲炎

費用

インプラント埋入:30万円 × 2本
ジルコニアクラウン:12万円 × 2本

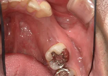
CASE 03

治療前

治療前写真 恵比寿南DENTAL 治療前写真 恵比寿南DENTAL

治療後

治療後写真 恵比寿南DENTAL 治療後写真 恵比寿南DENTAL
施術内容

【20代女性】
右下7番の歯根破折してしまい保存不可能となってしまった歯を抜歯し、インプラント埋入

治療期間

5ヶ月

リスク

術中の不可抗力によるトラブル(出血など)、術後注意事項を守らないことによる疼痛、感染、上部構造装着後口腔内清掃を怠ったことによるインプラント周囲組織の炎症

副作用

治療後の口腔内清掃、及びメインテナンスを怠ったことによるインプラント周囲粘膜炎またはインプラント周囲炎

費用

インプラント埋入:30万円
ジルコニアクラウン:12万円

CASE 01

治療前

治療前写真 恵比寿南DENTAL

治療後

治療後写真 恵比寿南DENTAL

治療前

治療前写真 恵比寿南DENTAL

治療後

治療後写真 恵比寿南DENTAL

治療前

治療前写真 恵比寿南DENTAL

治療後

治療後写真 恵比寿南DENTAL
矢印
矢印
施術内容

【40代女性】
右上の前歯が歯根破折となっしまった為抜歯を行い、抜歯と同時にインプラント埋入を行った

治療期間

3ヶ月

リスク

術中の不可抗力によるトラブル(出血など)、術後注意事項を守らないことによる疼痛、感染、上部構造装着後口腔内清掃を怠ったことによるインプラント周囲組織の炎症

副作用

治療後の口腔内清掃、及びメインテナンスを怠ったことによるインプラント周囲粘膜炎またはインプラント周囲炎

費用

インプラント埋入:30万円
ジルコニアオールセラミッククラウン:15万円

CASE 02

治療前

治療前写真 恵比寿南DENTAL

治療後

治療後写真 恵比寿南DENTAL

治療前

治療前写真 恵比寿南DENTAL

治療後

治療後写真 恵比寿南DENTAL

治療前

治療前写真 恵比寿南DENTAL

治療後

治療後写真 恵比寿南DENTAL
矢印
矢印
施術内容

【30代男性】
生え代わらず晩期残存した左下の乳歯を抜歯しインプラントを埋入

治療期間

4ヶ月

リスク

術中の不可抗力によるトラブル(出血など)、術後注意事項を守らないことによる疼痛、感染、上部構造装着後口腔内清掃を怠ったことによるインプラント周囲組織の炎症

副作用

治療後の口腔内清掃、及びメインテナンスを怠ったことによるインプラント周囲粘膜炎またはインプラント周囲炎

費用

インプラント埋入:30万円 × 2本
ジルコニアクラウン:12万円 × 2本

CASE 03

治療前

治療前写真 恵比寿南DENTAL

治療後

治療後写真 恵比寿南DENTAL

治療前

治療前写真 恵比寿南DENTAL

治療後

治療後写真 恵比寿南DENTAL
矢印
矢印
施術内容

【20代女性】
右下7番の歯根破折してしまい保存不可能となってしまった歯を抜歯し、インプラント埋入

治療期間

5ヶ月

リスク

術中の不可抗力によるトラブル(出血など)、術後注意事項を守らないことによる疼痛、感染、上部構造装着後口腔内清掃を怠ったことによるインプラント周囲組織の炎症

副作用

治療後の口腔内清掃、及びメインテナンスを怠ったことによるインプラント周囲粘膜炎またはインプラント周囲炎

費用

インプラント埋入:30万円
ジルコニアクラウン:12万円

治療費用

1次手術
25〜30万円(税別) / 本
2次手術
3万円(税別) / 本
上部構造
13〜16万円(税別) / 本
( オールセラミック・ハイブリッドセラミック・メタルボンド・ゴールド )
合計
41万円〜 (税別) / 本( CT撮影費含む )
補助手術
GBR(骨の量が不足する部位に骨を増やす方法) 5万円(税別) GBR 5万円(税別)
(骨の量が不足する部位に骨を増やす方法)
ソケットリフト(上顎骨を変形させ長いインプラントを埋入する方法) 5万円(税別) ソケットリフト 5万円(税別)
(上顎骨を変形させ長いインプラントを埋入する方法)
サイナスリフト(上顎洞内に骨を増生する手術法) 20万円(税別) サイナスリフト 20万円(税別)
(上顎洞内に骨を増生する手術法)

インプラント治療の流れ

step 01

診断と治療計画、サージカルガイド作製

レントゲン写真 恵比寿南DENTAL

まずは虫歯や歯周病の状態等のお口の中の精密検査、通常のレントゲン撮影と
歯科用CTを含めた画像検査を行います。
その後治療計画を立案します。(どこに何本のインプラントをどのように埋入
するのか、それに伴う治療期間と費用等)その後治療計画を説明させて頂き同意
頂けるようであれば手術の準備に移ります。
撮影したCTデータを元に手術のシミュレーションを行い、サージカルガイドを作製します。神経や血管を避け顎の骨のどの部分に、どのような方向でどれくらいの
深さでインプラントを埋入するのが良いかを事前にシミュレーションすることで安全
な手術が可能となります。

step 02

インプラント一次手術

メスを持っている写真 恵比寿南DENTAL

歯を失ってしまった欠損部分にインプラント体を埋入します。
事前に手術のシミュレーションにより作製したサージカルガイドを用いるため
侵襲を最小限に抑えた安全な手術が可能です。
手術時間は通常のインプラント埋入手術であれば30分~45分で終了し麻酔の量
を通常の虫歯治療とほとんど同量になりますので、身体的負担はそこまで大きく
ありません。
その後約2~3カ月の間インプラント体が顎の骨にしっかりと固定されるまで
経過を診ていきます。

step 03

インプラント二次手術

インプラントイラスト 恵比寿南DENTAL

顎の骨とインプラント本体が結合したことを確認し、インプラントと上部の
被せ物の連結部分を装着する二次手術を行います。
一次手術と二次手術を両方行うことを「二回法」と呼びます。
骨の状態によっては一次手術と二次手術を同時に行う「一回法」を選択する
場合もあります。

step 04

上部構造の装着

上部構造の装着イラスト 恵比寿南DENTAL

歯の型を取り、上部構造を作製します。その上部構造をインプラント本体に装着し、インプラント治療が終了となります。

インプラント治療に関する
よくある質問

Q&A
Q

インプラントは
どのくらい長持ちしますか?

三角形
A

定期的な管理と正しいケアを行えば、10年以上お使いいただくことができます。
インプラントは第二の永久歯とも呼ばれ、正しいメンテナンスを続けることで10年以上はお使い頂けます。
正しいメンテナンス方法を歯科医や歯科衛生からアドバイスを受け実践して頂き、1~3ヶ月に一度は必ず
定期検診にご来院ください。

Q

インプラント治療を行うのに
年齢制限はありますか?

三角形
A

顎の成長が完了する18歳以上が適応で、上限は特にありません。
18歳以上であれば年齢制限は設けられていませんが、高齢の患者様の場合、全身のお体の病気を考慮する必要があり、かかりつけの専門医との相談を行う場合があります。

Q

手術後に注意することはありますか?

三角形
A

手術当日は歯科医師の指示に従って安静にし、飲食を含めた日常生活にも少し配慮していただく必要があります。
手術後の数時間は痛みが出ることが多く、また外科処置を行うため術後の腫れが出る症例がありますが、当院ではガイデッドサージェリーシステムにより可能な限り術後の痛みと腫れの少ない手術をご提供しています。手術当日はなるべく安静にし、食事は、傷口の刺激になりやすい固い食べ物等を避けるなど心がけていただきます。

Q

重度の歯周病なのですが
インプラント治療は可能ですか?

三角形
A

インプラント治療ができない場合があります。
術前の精密検査で歯周病の状態が良くない場合など、内容によってはインプラント治療をお断りする場合があります。
無理に手術を行っても埋入したインプラント本体が脆弱な顎の骨になかなか結合できず、抜けてしまう可能性が高いからです。
インプラント治療をご希望の場合、まずは徹底した歯周病治療を行い状態の改善が見られた場合のみインプラント治療に移行します。
万が一インプラント治療が困難な場合はブリッジや入れ歯等の他の選択肢をおすすめさせていただく場合があります。また、当院では矯正歯科・審美歯科など幅広い治療にもご対応しています。カウンセリングを受付ておりますので、まずはお気軽にお越しください。

医院概要

クリニック名 医院名 恵比寿南DENTAL
アクセス 所在地 〒150-0022
東京都渋谷区恵比寿南2-1-9朝井ビル2F
JR恵比寿駅西口徒歩3分
東京メトロ日比谷線恵比寿駅5番出口徒歩1分
電話番号 03-5734-1188
診療時間 月曜日~金曜日 10:00~13:30|15:00~19:00
土曜日 10:00~13:00|14:00~17:00
休診日 日曜・祝日
WEB予約 無料相談はこちら 右矢印アイコン 恵比寿南DENTAL ご予約・お問い合わせ 電話アイコン 恵比寿南DENTAL 03-5734-1188 10:00-13:30 / 15:00-19:00